Theo đó, nạn nhân này đến từ quận Bronx ở tiểu bang New York nhập viện hai lần trong tháng 9 vì bị mắc một loại bệnh phổi lạ. Tuy nhiên, diễn biến bệnh phức tạp đã khiến bệnh nhân tử vong vào ngày 4-10.
Trong một thông báo vào ngày 9-10, Thống đốc bang New York Andrew M. Cuomo cho biết đây là nạn nhân đầu tiên ở tiểu bang này tử vong vì bệnh liên quan đến thuốc lá điện tử và là nạn nhân vị thành niên đầu tiên ở Mỹ.
Chính quyền New York cũng đã khởi kiện lên 21 trang web vì quảng cáo và bán các sản phẩm thuốc lá điện tử cho người dưới 21 tuổi. Đây là độ tuổi tối thiểu có thể mua thuốc lá hoặc thuốc lá điện tử hợp pháp ở tiểu bang này.
 |
|
Dung dịch thuốc có hương liệu của thuốc lá điện tử rất đa dạng và sẵn có trên thị trường. Ảnh: Bloomberg. |
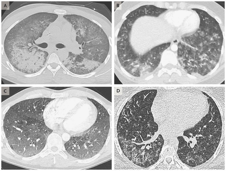
Thống kê của Bộ Y tế và Dịch vụ Nhân sinh Mỹ cho hay, khoảng 1.100 trường hợp gần đây mắc bệnh phổi cấp tính xuất hiện ở những bệnh nhân đều có tiền sử hút thuốc lá điện tử với độ tuổi từ 14 đến 69. Riêng New York đã có tới 110 trường hợp. Đây là lời cảnh tỉnh cho các bậc phụ huynh về việc bùng nổ tỷ lệ sử dụng thuốc lá điện tử ở thanh thiếu niên có thể dẫn đến tử vong.
Vào tháng trước, Tổng thống Mỹ Donald Trump tuyên bố, ông đang cân nhắc ban hành lệnh cấm thuốc lá điện tử có hương liệu nhằm hạn chế việc sử dụng ở giới trẻ. Cục Quản lý Thực phẩm và Dược phẩm Mỹ (FDA) sẽ xây dựng các hướng dẫn để loại bỏ thuốc lá điện tử có hương liệu ra khỏi thị trường.
Bên cạnh đó, Đệ nhất phu nhân Mỹ Melania Trump đã lên tiếng kêu gọi các công ty không tiếp thị thuốc lá điện tử cho trẻ em bởi sản phẩm này tiềm ẩn nhiều hệ lụy nguy hiểm.
 |
|
Ảnh minh họa. Nguồn: The National Interest. |
Thuốc lá điện tử (e-cigarette hay vape) được phát minh như một phương pháp thay thế cho việc hút thuốc lá thông thường. Một điếu thuốc lá điện tử hoạt động bằng pin, có chứa dung dịch thuốc được tạo thành từ glycerin, propylene glycol (giúp giữ nước cho dung dịch), nicotine và hương liệu.
Khi sử dụng, thiết bị chuyển một lượng tinh dầu chứa nicotine lỏng trong buồng đốt thành dạng hơi nước hay sương mù để người dùng hít vào. Trong một liều có chứa các hạt siêu mịn đi sâu vào phổi, nhiều trong số các hạt này chứa lượng hóa chất độc hại liên quan đến ung thư, bệnh hô hấp và tim mạch như nicotine, kim loại nặng như niken, thiếc và chì.
MAI HÀ (theo New York Times)